Fracture de l’olécrane
Qu’est-ce que l’olécrane ?
Le coude est formé par l’humérus d’une part qui s’articule avec les deux os de l’avant bras et plus spécifiquement avec la tête du radius (tête radiale) et l’extrémité proximale de l’ulna (cubitus) appelée l’olécrane.
Qu’est-ce qu’une fracture de l’olécrane ?

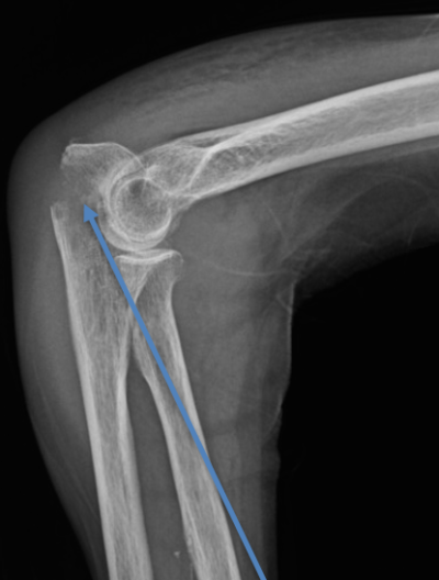
Fracture de l’olécrane
Les fractures de l’olécrane peuvent être de différents types allant de la fracture simple jusqu’aux fractures complexes et déplacées de l’articulation du coude.
L’os peut, en plus d’être cassé, être décalé. On parle alors de fracture déplacée.
Certaines fractures d’olécrane sont dites stables lorsque l’os, qu’il soit déplacé ou non, ne risque pas de bouger secondairement car la fracture est « impactée ». A contrario, il existe des fractures instables où les os cassés, qu’ils soient déplacés ou non, risquent de bouger avec le temps.
Certaines fractures sont plus graves que d’autres comme les fractures qui touchent la surface articulaire ou celles faites de plusieurs petits fragments. Une fracture est dite ouverte lorsqu’il existe une plaie en regard de la fracture. Il existe alors un risque d’infection de l’os.
Qui peut avoir une fracture de l’olécrane ?
La fracture d’olécrane est fréquente car il s’agit de l’os du coude le plus saillant. Elle survient suite à un traumatisme sur le coude. Quand les os sont fragiles, comme dans l’ostéoporose, ils ont tendance à se fracturer plus facilement.
Quels sont les symptômes ?
Une douleur, un gonflement ou la déformation du coude peuvent traduire une fracture. Il peut également, mais pas systématiquement, devenir difficile de bouger coude. Parfois, les doigts picotent ou sont engourdis à leurs extrémités.
Comment diagnostiquer une fracture de l’olécrane ?
La radiographie réalisée met en évidence la fracture. Un scanner peut être nécessaire pour obtenir une meilleure analyse de la fracture et rechercher d’autres lésions au niveau du coude. En effet, les ligaments et d’autres os peuvent également être atteints lorsque le coude est cassé. Ces blessures peuvent nécessiter une prise en charge également, dans le même temps que le traitement de la fracture de l’os.
Comment traiter une fracture de l’olécrane ?
Le traitement choisi dépend de plusieurs facteurs :
- le type de fracture (stabilité, degrés de déplacement des os, gravité),
- votre âge, votre profession, vos loisirs,
- votre état de santé général,
- la présence d’autres blessures associées.
Les fractures stables et non déplacées pourront être prise en charge avec une immobilisation seule par plâtre ou attelle. On parle de traitement orthopédique.

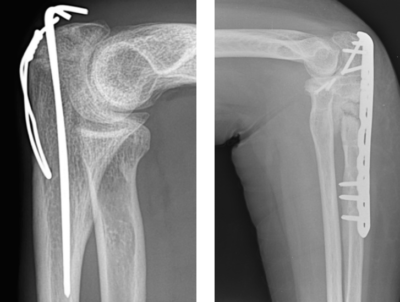
Ostéosynthèse par brochage-haubanage ou par plaque
Pour les fractures instables ou déplacées, même si les os sont repositionnés et qu’un plâtre est mis en place ensuite, les fragments osseux auront tendance à re-bouger secondairement ou à adopter une mauvaise position avant de consolider. Ces fractures nécessitent donc une intervention chirurgicale afin de rétablir et maintenir l’alignement des os en les fixant avec du matériel (plaque ou broches).
L’intervention se déroule au bloc opératoire, sous anesthésie loco-régionale (seul le bras est endormi), en ambulatoire (vous entrez et sortez de l’hôpital le même jour que votre intervention). La cicatrice réalisée sur le coude mesurera environ 7 à 15 centimètres.
Evolution habituelle
L’attelle posée pour immobilisation après l’intervention doit être portée en permanence jour et nuit pendant 2 semaines.
La kinésithérapie au rythme de 3 séances par semaine doit être débutée dès la 3eme semaine qui suit l’intervention.
Quel que soit le traitement, il peut persister une raideur du coude.
Suivi post-opératoire
Vous serez revu(e) en consultation de contrôle dans le mois qui suit l’intervention. Plusieurs radiographies de contrôle seront à réaliser au cours du suivi.
La reprise du travail peut être envisagée dès la 6ème semaine en fonction des activités professionnelles.
Il est souhaitable de prévoir l’ablation de la plaque ou des broches au cours d‘une nouvelle intervention chirurgicale environ un an après la survenue de l’accident car, laissée trop longtemps, le matériel peut être gênant et douloureux. Cette nouvelle opération est à discuter, en fonction de votre âge et/ou de la gêne que vous pouvez éventuellement ressentir.
Risques de complications
Les complications précoces principales liées à l’intervention sont :
- l’hématome nécessitant un glaçage et une surélévation du bras,
- une infection nécessitant une reprise chirurgicale pour lavage de l’articulation et une antibiothérapie,
- déplacement secondaire souvent favorisé en cas d’os de mauvaise qualité (ostéoporose) nécessitant une reprise chirurgicale pour nouvelle ostéosynthèse.
Les complications tardives principales liées à l’intervention sont :
- la raideur et l’algoneurodystrophie nécessitant la réalisation de kinésithérapie,
- l’arthrose nécessitant un traitement médical et/ou chirurgical si résistante au traitement médical bien conduit.