Entorse du poignet

Qu’est-ce qu’une entorse du poignet ?

Lors d’un traumatisme du poignet, les ligaments peuvent être étirés voir déchirés. S’il s’agit d’une simple élongation on parle d’entorse bénigne, si les ligaments sont déchirés on parle d’entorse grave.


Comment diagnostiquer une
entorse du poignet ?

Ecart entre le scaphoïde et le semi-lunaire

Il n’y a aucune relation directe entre la gravité de la lésion et la douleur ressentie. Lors d’une entorse isolée, le poignet n’est pas déformé. Il peut apparaître un hématome au niveau du poignet. Parfois, il existe juste une douleur à la palpation du ligament lésé. En attendant les examens complémentaires, il faudra immobiliser le poignet par une simple attelle.

Des radiographies simples du poignet seront toujours demandées. On recherchera des fractures associées et des écarts anormaux entre les différents os du carpe.

On peut demander une IRM pour dépister les ruptures ligamentaires. En cas de doute, un arthroscanner peut être réalisé. Un produit radio-opaque sera injecté dans le poignet et permettra de dépister les ruptures ligamentaires.


Comment traiter une entorse du poignet ?

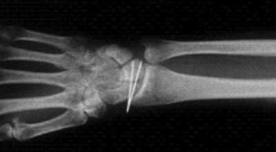
Fixation temporaire des broches

En cas d’étirement simple des ligaments, un simple traitement orthopédique par immobilisation du poignet pendant 3 semaines sera suffisant.

Dans les autres cas, il faudra envisager un traitement chirurgical ambulatoire (vous entrez et sortez de l’hôpital le même jour que votre intervention) sous anesthésie loco-régionale (seul le bras est endormi) afin de réparer le ligament abîmé. Le principe du traitement est de remplacer le ligament abîmé par une autre structure (ligamentoplastie ou capsulodèse) et de remettre en place les 2 os qui étaient maintenus par le ligament abîmé en les fixant temporairement par des broches qui seront laissées en place environ 8 semaines.

Le traitement peut être réalisé par arthroscopie au niveau du poignet qui permet de faire le diagnostic et de traiter les lésions dans le même temps ou par chirurgie ouverte avec une cicatrice de quelques centimètres sur le dos du poignet.

Pour les lésions anciennes, le traitement est beaucoup plus complexe. Il s’agit le plus souvent d’entorses négligées. Le traitement réalisé dépendra de votre âge, de vos activités et de l’état des cartilages.


Evolution habituelle

Le traitement chirurgical donne de très bons résultats. Le poignet est immobilisé environ 2 mois. La mobilisation des doigts est préconisée dès le lendemain de l’intervention. Les broches sont retirées à 8 semaines au cours d’une seconde intervention au bloc opératoire. La kinésithérapie est débutée après l’ablation des broches. On note une récupération de la mobilité et de la force dans les 3 à 6 mois après ablation des broches.


Suivi post-opératoire

Vous serez revu(e) en consultation de contrôle dans le mois qui suit l’intervention. Plusieurs radiographies de contrôle seront à réaliser au cours du suivi. L’arrêt de travail dépendra de votre profession et de votre capacité à travailler avec une immobilisation (attelle).


Risques de complications

Les complications précoces principales liées à l’intervention sont :

  • l’hématome nécessitant un glaçage et une surélévation du bras,
  • une infection nécessitant une reprise chirurgicale pour lavage de l’articulation et une antibiothérapie rupture secondaire du ligament nécessitant une reprise chirurgicale.

Les complications tardives principales liées à l’intervention sont :

  • la raideur et l’algoneurodystrophie nécessitant la réalisation de kinésithérapie,
  • l’arthrose nécessitant un traitement médical et/ou chirurgical si résistante au traitement médical bien conduit.