Fracture du scaphoïde

Qu’est-ce qu’une fracture du scaphoïde ?

Fracture du scaphoïde

Le scaphoïde est un des osselets du poignet (carpe). Le scaphoïde s’articule avec le radius. Il se trouve entre la base du pouce et le poignet.La fracture du scaphoïde est la plus fréquente des fractures des os du carpe. Elle survient lors d’une chute sur la main en extension de poignet.


Quels sont les symptômes ?

La douleur se situe au niveau du scaphoïde, entre la base du pouce et le poignet et est augmentée par les mouvements de rotation du poignet ou lors de la traction du pouce. Il peut y avoir un gonflement (œdème) à cet endroit.


Comment diagnostiquer une fracture du scaphoïdes ?

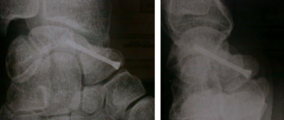
Fracture deu scaphoïde

Elle passe fréquemment pour une entorse de poignet, et son diagnostic est parfois méconnu lors d’un premier examen par un médecin ou posé tardivement. Le diagnostic pourra être fortuit lors de la réalisation d’une radiographie suite à un autre traumatisme ou lors de la persistance de douleurs plusieurs mois ou années après un traumatisme.

Il faut réaliser une radiographie du poignet. En cas de doute, on peut réaliser un scanner qui permettra d’affirmer ou d’exclure le diagnostic de fracture du scaphoïde.


Comment traiter une fracture du scaphoïde ?

Si elle est non traitée, le risque est la survenue d’une pseudarthrose (non consolidation de la fracture), évoluant à long terme vers l’arthrose du poignet.

Le traitement des fractures non déplacées est de 2 types :

  • le traitement dit « orthopédique » avec une immobilisation longue (plâtre ou résine prenant le poignet) de 2 à 3 mois minimum en fonction du type de fracture,
  • un traitement chirurgical peut être proposé. Le principe est de stabiliser la fracture par un vissage percutané. L’avantage de ce traitement est de diminuer le temps d’immobilisation de manière significative et donc d’améliorer votre confort.

Stabilisation la fracture par vis ou broches

Le traitement des fractures déplacées est chirurgical. Il consiste à réduire le déplacement puis à stabiliser la fracture (par vis ou broches).


Evolution habituelle

La majorité des fractures opérées consolident. Une immobilisation de quelques semaines sera nécessaire. Toutes les parties non immobilisées par l’attelle doivent être bougées dès le lendemain de l’intervention.


Suivi post-opératoire

Vous serez revu(e) en consultation de contrôle dans le mois qui suit l’intervention. Plusieurs radiographies de contrôle seront à réaliser au cours du suivi.
Une rééducation sera prescrite et à réaliser après levée de l’immobilisation. L’arrêt de travail après intervention est d’environ 6 semaines mais dépendra de votre profession et de votre capacité à travailler avec une attelle.


Risques de complications

Pseudarthrose du scaphoïde

Les complications précoces principales liées à l’intervention sont :

  • l’hématome nécessitant un glaçage et une surélévation du bras,
  • une infection nécessitant une reprise chirurgicale pour lavage de l’articulation et une antibiothérapie,
  • un déplacement secondaire si l’os est de mauvaise qualité (ostéoporose) nécessitant une reprise chirurgicale pour nouvelle ostéosynthèse.

Les complications tardives principales liées à l’intervention sont :

  • le risque de pseudarthrose existe également après intervention chirurgicale. Il est lié au type de fracture, à une durée d’immobilisation insuffisante ou à la poursuite du tabac. La pseudarthrose peut nécessiter une prise en charge chirurgicale avec greffe osseuse,
  • la raideur et l’algoneurodystrophie nécessitant la réalisation de kinésithérapie,
  • l’arthrose nécessitant un traitement médical et/ou chirurgical si résistante au traitement médical bien conduit.